Sütçü İmam Üniversitesi Sağlık Uygulama ve Araştırma Hastanesi Göğüs Cerrahi Ana Bilim Dalı Öğretim Üyesi Dr. Fatoş Kozanlı, koronavirüsün akciğer kanserini taklit ettiğini ve bunun dünya tıp literatüründe bir ilk olduğunu söyledi.
HASTANIN GÖĞSÜNDE TÜMÖR TESPİT EDİLDİ
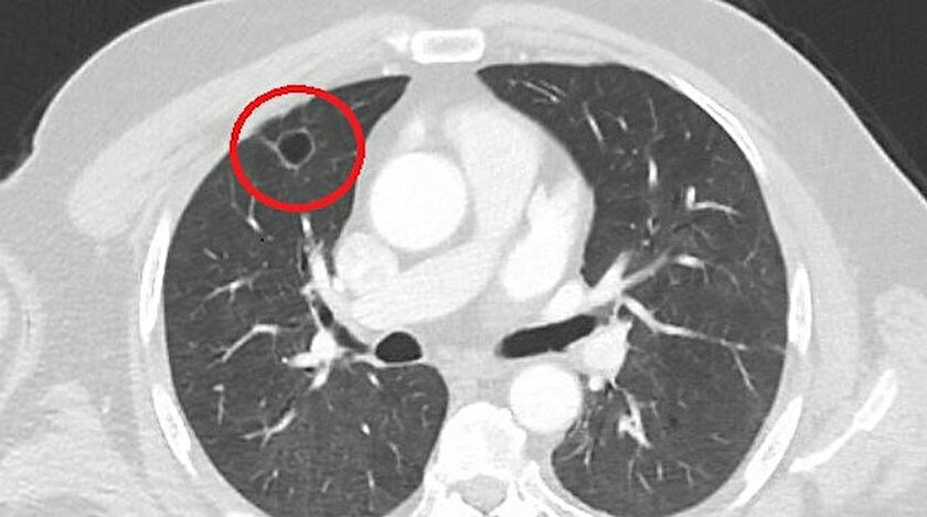
Kent dışında çalışan N.T.'nin, göğüs ağrısı şikayetiyle gittiği hastanede çekilen tomografisinde sağ akciğerinde 4 santimetre çapında tümör tespit edildi. Kanser olabileceği şüphesiyle yapılan ileri tetkikler sonrası N. T.'ye akciğer kanseri teşhisi kondu ve acil ameliyat kararı verildi.
Bunun üzerine N.T., ameliyat için memleketi Kahramanmaraş'a geldi. Sütçü İmam Üniversitesi Sağlık Uygulama ve Araştırma Hastanesi Göğüs Cerrahi Anabilim Dalı Öğretim Üyesi Dr. Fatoş Kozanlı da tomografi ve test sonuçlarına göre N. T.'ye akciğer kanseri teşhisi koydu ve ameliyat yapılması gerektiğini söyledi.
PCR TESTİ NEGATİF ÇIKTI, TÜMÖR YOK OLDU
Ameliyat öncesi N.T.'nin Covid-19 testi pozitif çıkınca operasyon ertelendi. Koronavirüs tedavisine başlanan N.T.'nin son testi negatif çıktı. Dr. Fatoş Kozanlı, tedavi sonrası tomografisi çekilen N.T.'nin akciğerindeki tümörün yok olduğunu gördü. Kozanlı, N.T.'nin kendilerine başvurduğunda koronavirüs belirtisi olmadığını ancak ameliyat öncesi PCR testi yaptıklarını söyledi. Koronavirüs tedavisinin ardından ortaya çıkan sonucun kendisini de şaşırttığını belirten Kozanlı, şunları söyledi:
"Hastamız, çalıştığı başka bir kentte göğsünden darbe alıyor ve ağrıları geçmeyince bir üniversite hastanesine başvuruyor. Burada hastaya bir akciğer grafisi çekiliyor. Sağ akciğerinde bir kitleye rastlanıyor. Daha sonra hastaya, bir akciğer tomografisi çekiliyor ve göğüs cerrahisi için önemli büyüklükte olan 4 santimetre çapında, akciğer kanserine benzer özellikte radyolojik bulgular olan bir kitle tespit ediliyor. Daha sonra hastaya yapılan ileri tetkiklerde akciğer kanseri teşhisi konuluyor. Hastaya bir cerrahi planlanıyor. Hasta Kahramanmaraşlı olduğu için kendi memleketine gelmeyi tercih ediyor. Bize başvurdu ve göğüs ağrısı şikayeti vardı. Öksürük, nefes darlığı, balgam çıkarma, ateş gibi şikayetleri yoktu. Hastayı biz de değerlendirdik ve ameliyat olmasına karar verdik. Çünkü akciğer kanserine çok benzer radyolojik bulguları vardı. Sağlık Bakanlığımızın kuralları gereği her hastayı ameliyat öncesi PCR testi yapılır.
Biz de ameliyat gecesi hastadan PCR testi aldık ve testi pozitif geldi. Ameliyatımızı 14 gün erteledik ve hastamıza koronavirüs tedavisi uygulandı. Hasta 14'üncü gün tekrar bize başvurdu ve yapılan PCR testi negatif çıktı. Yeni bir tomografi çektik ve tümörün tamamen ortadan kalktığını gördük. Şimdi sonuç bilgilerinden başlangıca gittiğimizde, bu bir akciğer kanseri olsaydı, ortadan kalkması mümkün değildi. Başka bir patolojiye bağlı durum olsaydı, yine verdiğimiz tedaviyle ortadan kalkmasını çok beklemeyiz. Antiviral tedavisi verdik ve hastanın radyolojik bulguları neredeyse tamamen normale döndü. Hastaya bunu izah ettik, 'Dünya literatüründe hiç görülmeyen bir radyolojik bulgu' diyerek. Bu gördüğümüz manzara artık hastanın akciğer grafisinde yok, akciğer kanseri değil. "
DÜNYA TIP LiTERATÜRÜNDE İLK VAKA
Hastayı takip etmeye devam ettiklerini belirten Kozanlı, 2 yıldır dünyayı etkisi altına alan koronavirüsün akciğer kanserini taklit ettiğini, böyle bir durumla ilk defa karşılaştıklarını söyledi. Hem Türkiye'de hem de diğer ülkelerde buna benzer bir vakanın olup olmadığını araştırdığını ifade eden Kozanlı, "Genel olarak dünya literatürüne baktığımızda koronavirüsün akciğer bulguları, radyolojik bulguları infiltrasyon, buzlu cam dansitesi gibi bilinen bulgular. Ama bizim hastamızda akciğer tümörünü taklit eden bir kitle vardı. Ve biz bunu dünya literatüründe hiç görmemiştik. Bununla ilgili geniş çaplı bir araştırma yaptım. Hem kendi deneyimlerimden hem kendi hastanemizde yatan hastalardan yola çıkarak birçok hastanın radyolojik bulgularına baktık. Dünya literatürlerini karıştırdım, diğer arkadaşlarıma danıştım, benzeri bulguya rastlamadım" diye konuştu.




