Yaklaşık 2 yıldırı dünyayı pençesinde bulunduran Koronavirüs dünyanın bir numaralı ortak gündemi olmaya devam ediyor. Salgından en çok etkilenen ülke konumunda bulunan ABD'de ise virüse yakalananlar arasında çocukların oranındaki artış dikkat çekiyor.
OTO-BAĞIŞIKLIK HASTALIĞINI TETİKLEDİ
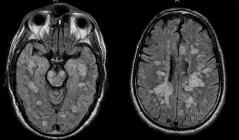
Kovid-19 ile enfekte olan 8 yaşındaki ABD'li çocuk ise son derece nadir görülen bir durum ile karşı karşıya kaldı.
Minnesota'da yaşayan Avella Braun Mart ayı başlarında virüse yakalandıktan sonra tüm hayatı değişti. The Mirror gazetesinde yer alan habere göre, Braun koronavirüs nadir görülen oto-bağışıklık hastalığını tetikledikten sonra felç kaldı.
Talihsiz çocuğa vücudun bağışıklık sistemi kendisine saldırarak omurilik ve beynin şişmesine neden olan nadir bir akut yayılmış Ensefalit (ADEM) teşhisi koyuldu.
Avella'nın doktoru Dr. Michael Pitt ağa, 'Buradaki tetikleyici virüsün Kovid-19 olduğuna inanmak için her türlü nedenimiz var' dedi.

Tıp uzmanları, ilk olarak Haziran ayında koronavirüs ve ADEM arasındaki bağlantıyı kurmaya başladı.
ADEM'in tipik semptomlarının ateş, halsizlik, kusma ve baş ağrısı olduğunun altını çizen uzmanlar, benzer vakaların sadece ABD'de değil başka bölgelerde de görüldüğü konusunda uyarıyor.
Öte yandan Johns Hopkins Üniversitesinin derlediği verilere göre, ABD'de virüs bulaşanların sayısı 41 milyon 995 bini geçti.




